Estetická stomatologie

Vytvoříme vám „neviditelné plomby“. Zub je ošetřený, ale nejnovější materiály nám umožní jej dostavět a zvolit individuální přirozenou barvu, takže vaše okolí nepozná, že zub není původní.

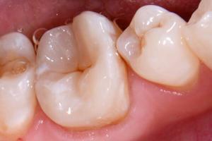
Estetické - kompozitní výplně

Abychom zajistili maximální životnost výplně, musíme nejprve pod zvětšením odstranit šetrně veškerý, běžným okem jen stěží viditelný zubní kaz. Právě díky zvětšení (mikroskop, zvětšovací lupy) lze postupovat zcela šetrně pro zub a odstranit jen to, co je nutné. Kompozitní výplň je schopna se na okolní zub „nalepit“ a díky této vazbě se zub i zpevní, a snižuje se tak riziko prasknutí zubu či odlomení části výplně.
Abychom mohli pracovat v suchém prostředí a zabránili tak kontaminaci zubu bakteriemi, izolujeme jej kofferdamovou blánou. Životnost nejmodernějších materiálů je dlouhodobá a při dodržení správného postupu je šance na tvorbu kazu pod plombou minimální.

Fazety

Keramické fazety jsou tenké ale velmi pevné plátky keramiky, které překrývají přední plochu zubu. Používají se k estetické korekci zubů, jenž jsou vidět při úsměvu. Opravit takto můžeme barvu, tvar, postavení, velikost zubů. Většinou se vyrábí z keramiky, která umožní nejpřirozenější vzhled. Další možností je zhotovení z kompozitního materiálu. Při preparaci na fazety je vlastní zubní tkáň pouze minimálně narušena.

Bělení

Bělení zubů je estetické úprava barvy zubů. Podle aplikace bělícího materiálu se rozděluje na ordinační a domácí. Při vaší návštěvě vám přímo doporučíme, který typ je pro vás nejvhodnější a nejšetrnější.

Estetické kompozitní / keramické onlaye (polokorunky)

V případě, že zub je poškozen do takové míry, že již nelze zub dostavět přímo v ústech, je možné ho rekonstruovat pomocí keramických nebo kompozitních „výplní“ zhotovených v laboratoři. Jedná se o inlaye, onlaye, overlaye – podle rozsahu. Zub se pod kofferdamem očistí od kazu a zapečetí se kompozitním materiálem, upraví se okraje a otiskne pro laboratoř. V další návštěvě se nacementuje hotová práce vytvořená v laboratoři. Tímto způsobem můžeme zubu vrátit původní tvar a funkci a vyhneme se tak nutnosti brousit zub na korunku, jenž pro zub znamená výrazně větší zásah. Můžeme tak pracovat maximálně šetrně vůči zubním tkáním.

Naše ceny

Konzultace

1 tis. - 1,5 tis. Kč

Fotokompozitní výplň

od 2 000 Kč

Fotokompozitní dostavba

4 tis. Kč - 5,5 tis. Kč

Dostavba zubu

po ošetření kanálků

3 tis. Kč - 4,5 tis. Kč

Ceny jsou orientační, konečná cena se určí až podle konkrétního rozsahu zákroku.

Často kladené otázky

Vytvoříme vám výplně, které v úsměvu nejsou vidět. Zub je ošetřený, ale moderní materiály umožní jeho přesnou dostavbu a výběr odstínu tak, aby dokonale ladil s vaším přirozeným úsměvem. Výsledek působí jako původní zub a okolí nepozná žádný rozdíl.
MUDr. Matěj Jurisa
Vedoucí zubní lékař

Objednejte se online do naší ordinace na Joštově ještě dnes

Přejít nahoru